
Meet Team Ryan 2021, and join them in supporting the International Hip Dysplasia Institute for our Day of Movement! Read Ryan’s journey with hip dysplasia that began with knee pain shortly before her 3rd birthday. “The Day of Movement on 10/9/21 will be a day for us to celebrate her journey, with all the bad

Meet our Miles4Hips Champion, Hannah and read her story! Support Hannah along her quest to raise hip dysplasia awareness and support the IHDI. Her campaign runs through October 14, 2021. https://miles4hips.com/miles4hips-champion-hannah If you would like to become a Miles4Hips Champion or get involved fill out this google form or email us at miles4hips@gmail.com.

For The Day of Movement on October 9, 2021 our annual hip dysplasia awareness shirts are now on sale through September 6, 2021! We added long sleeve t-shirts and sweatshirts for the fall weather. Buy a shirt to help raise awareness and support the International Hip Dysplasia Institute! Click here to order a T-Shirt and

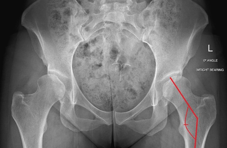
Do you want to deepen your understanding of your hip condition? Check out this resource that dives into the measurements on your radiology report and what they mean. Hip Dysplasia: What’s With All Those Angles?

Check out this article from the International Hip Dysplasia Institute. It discusses some exciting new research on the longevity of total hip replacements. https://hipdysplasia.org/how-long-does-a-total-hip-last/

Want to meet or help connect hip dysplasia patients, families, friends, medical providers, and advocates in your community? Consider organizing a local meet-up on October 9, 2021! The meet-up can be as formal or as informal as you want. Click here for more information on creating a meet up! For more information on the Day
Pass the Crutch 2021 is here! Thank you to everyone who submitted videos, this was a fun way to connect our community around the globe!